Breaking News
  • Klempić: Posjetom Vašingtonu Dodik otvara prostor za veliki politički dobitak RS jer Sarajevo u smislu strateškog lobiranja praktično ne postoji
  • Cvijanović: Ovo je ko zna koji put da član SNSD-a pobijedi predsjednika SDS-a
  • Stevandić se obrušio na SDS: "Oni su se potpuno politički pobošnjačili, pokušavaju ponovo da igraju prljavu bošnjačku igru podjela"
  • Na Ahiret preselio BRKIĆ (Ibrahim) IBRO
  • Blanuša priznao poraz: Nisam razočaran, hvala svima koji su glasali slobodno
Home

Main navigation

  • Početna
  • CAZIN
    • AKTUELNOSTI
    • CAZINSKI SPORT I KULTURA
    • SERVISNE INFORMACIJE
  • KRAJINA
    • BIHAĆ
    • BOSANSKA KRUPA
    • BOSANSKI PETROVAC
    • BUŽIM
    • KLJUČ
    • SANSKI MOST
    • VELIKA KLADUŠA
  • VIJESTI
    • BOSNA I HERCEGOVINA
    • REGION
    • SVIJET
  • SPORT
    • NOGOMET
    • RUKOMET
    • KOŠARKA
    • BORILAČKI SPORTOVI
    • TENIS
    • OSTALI SPORTOVI
  • MAGAZIN
    • AUTOMOBILI
    • FIT
    • LIFESTYLE
    • LJUBIMCI
    • MAME
    • SHOWBIZZ
    • TEHNOLOGIJA
    • ZANIMLJIVOSTI
  • IZDVOJENO
    • OBAVIJEST O SMRTI
    • OGLASI
    • RECEPTI
    • RELIGIJA
    • ZDRAVLJE I LJEPOTA
  • NA MREŽAMA
  • PREKO GRANICA

User account menu

  • Log in
Priča o Bišćanki Almedini: Od ratnog podruma u Bihaću do Univerziteta u Cambridgeu
KRAJINA Wed, 24 Jul 2019 - 17:56
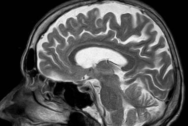
Mozak "punoljetan" tek sa 30 godina
Fri, 22 Mar 2019 - 17:00
Subscribe to Cambridge

Recent Posts

  • 01
    Klempić: Posjetom Vašingtonu Dodik otvara prostor za veliki politički dobitak RS jer Sarajevo u smislu strateškog lobiranja praktično ne postoji
  • 02
    Stevandić se obrušio na SDS: "Oni su se potpuno politički pobošnjačili, pokušavaju ponovo da igraju prljavu bošnjačku igru podjela"
  • 03
    Cvijanović: Ovo je ko zna koji put da član SNSD-a pobijedi predsjednika SDS-a
  • 04
    Dedića nema u ekipi Benfice, Mourinhove riječi zabrinule sve: Nije povrijeđen, ali od sada pa nadalje moramo...
  • 05
    Cvijanović: Opozicija je bruka Republike Srpske i ponižava vlastite birače
  • 06
    Blanuša priznao poraz: Nisam razočaran, hvala svima koji su glasali slobodno

Podaci o redakciji

Kontakt:

info@cazin.net

Footer

  • Privacy policy
  • Data deletion