Breaking News
  • Ova zemlja uvodi dobrovoljni vojni rok: Trajat će šest mjeseci, plata 2.600 eura
  • Njemački ministar vanjskih poslova o BiH: Genocid je urezan u naše pamćenje, Schmidt ima punu podršku
  • RS bez budžeta za 2026, ali s idejom testiranja učenika na narkotike
  • Digao policiju na noge: Učenik lažno prijavio bombu u banjalučkoj školi
  • Trampova administracija tvrdi da Evropi prijeti "civilizacijsko brisanje" i najavljuje podršku desnim pokretima
Home

Main navigation

  • Početna
  • CAZIN
    • AKTUELNOSTI
    • CAZINSKI SPORT I KULTURA
    • SERVISNE INFORMACIJE
  • KRAJINA
    • BIHAĆ
    • BOSANSKA KRUPA
    • BOSANSKI PETROVAC
    • BUŽIM
    • KLJUČ
    • SANSKI MOST
    • VELIKA KLADUŠA
  • VIJESTI
    • BOSNA I HERCEGOVINA
    • REGION
    • SVIJET
  • SPORT
    • NOGOMET
    • RUKOMET
    • KOŠARKA
    • BORILAČKI SPORTOVI
    • TENIS
    • OSTALI SPORTOVI
  • MAGAZIN
    • AUTOMOBILI
    • FIT
    • LIFESTYLE
    • LJUBIMCI
    • MAME
    • SHOWBIZZ
    • TEHNOLOGIJA
    • ZANIMLJIVOSTI
  • IZDVOJENO
    • OBAVIJEST O SMRTI
    • OGLASI
    • RECEPTI
    • RELIGIJA
    • ZDRAVLJE I LJEPOTA
  • NA MREŽAMA
  • PREKO GRANICA

User account menu

  • Log in

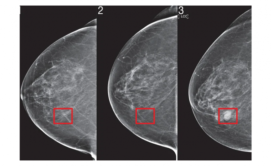
Razvijena umjetna inteligencija koja otkriva rak dojke godinama prije nego što se razvije

TEHNOLOGIJA 18 Mar, 2023
Virusolog sa Oxforda: Velika Britanija je blizu vakcine
SVIJET 20 Jul, 2020
Psi otkrivaju zaražene koronavirusom: Sa 330 miliona mirisnih receptora detektuju posebne vrste znoja
SVIJET 15 Jul, 2020
Otkriven još jedan laboratorij za uzgoj skanka, uhapšena dvojica Tuzlaka
BOSNA I HERCEGOVINA 17 Jul, 2019
Strane službe jedina nada za otkrivanje ubica policajaca
BOSNA I HERCEGOVINA 23 May, 2019
Napokon otkriveno o čemu se radi: Stanovnike zapanjila svjetleća kugla koja se srušila s neba
SVIJET 20 Oct, 2018
21-godišnjakinja imala odnos s dječakom, otkrila kako je poklekla
REGION 19 Oct, 2018
Subscribe to otkrivanje

Recent Posts

  • 01
    RS bez budžeta za 2026, ali s idejom testiranja učenika na narkotike
  • 02
    Njemački ministar vanjskih poslova o BiH: Genocid je urezan u naše pamćenje, Schmidt ima punu podršku
  • 03
    Ova zemlja uvodi dobrovoljni vojni rok: Trajat će šest mjeseci, plata 2.600 eura
  • 04
    Muškarac ubio sestru svoje nevjenčane supruge, a nju ranio: Rekao da ide po slatkiše, vratio se s puškom
  • 05
    Stravična nesreća: Vozač dobio dijabetični napad i preletio dva automobila
  • 06
    Trampova administracija tvrdi da Evropi prijeti "civilizacijsko brisanje" i najavljuje podršku desnim pokretima

Podaci o redakciji

Redakcija:
e.mail: info@cazin.net
t. 060 30 40 722 (sms- viber- w’app)
Marketing:
e.mail: marketing@cazin.net
 

Footer

  • Privacy policy
  • Data deletion