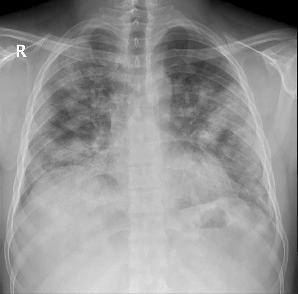
Pogledajte kakvu štetu koronavirus izaziva na plućima

Želimo da ljudi budu maksimalno pažljivi. Težak je put nazad kada virus uđe u pluća. Rizik je tim veći ako pacijent ima i neka druga oboljenja i ako je riječ o starijim osobama. Ljekari su umorni, ali nastavljaju borbu, kazala je Karalezli

 

Koronavirus najviše oštećuje pluća, a tomografski snimci jasno pokazuju koliko infekcija COVID-19 oštećuje taj organ.

Neki od glavnih simptoma zaraze koronavirusom su zatajenje respiratornog trakta, otežano disanje i upala pluća, a o posljedicama koje pluća trpe od koronavirusa i brzini razvoja bolesti ponajbolje govore tomografski snimci pacijenata koje je AA dobila iz Gradske bolnice u Ankari.

Doktorica s Odjela za respiratorne bolesti Ausegul Karalezli za AA je kazala da pandemija COVID-19 i dalje traje i da se globalno čini da je intenzivnija nego li je bila u njenim prvim mjesecima.

- Pacijenti zaraženi koronavirusom uglavnom dolaze s problemima s plućima. To je zabrinjavajuće jer su kapaciteti bolnica ograničeni i moramo razmišljati šta ukoliko bude prekoračen taj kapacitet. Ljudi moraju biti oprezni i odgovorni. Potrebno je da se svi dobro štite maskama, distancom i higijenom. Neki još nisu svjesni važnosti samozaštite, a mi stalno ukazujemo na to - kazala je Karalezli. 

Dodala je da koronavirus izaziva ozbiljno otežavanje disanja i zatajenje respiratornog trakta te je dodala da stepen unosa oksigena kod zdrave osobe iznosi 98 posto, a da on kod zaraženih koronavirusom pada na 70 posto, što je radikalniji pad u odnosu na većinu drugih bolesti pluća. 
Karalezli je dalje kazala da ljekari različitim aparatima pokušavaju nadomjestiti kisik pacijentima koji dođu u taj stadij infekcije te je dodala da je mnogo nepoznanica kada je riječ o koronavirusu.

- Želimo da ljudi budu maksimalno pažljivi. Težak je put nazad kada virus uđe u pluća. Rizik je tim veći ako pacijent ima i neka druga oboljenja i ako je riječ o starijim osobama. Ljekari su umorni, ali nastavljaju borbu - kazala je Karalezli. 

Upozorivši da koronavirus oštećuje sve vitalne organe, Karalezli je rekla da je to najizraženije kod pluća, a to je pokazala i na tomografskim snimcima pluća pacijenata.

- Ne znamo kako će se završiti ova pandemija. Terapije određujemo po simptomima pacijenata, kao što je nadomještanje nedostatka kisika. Ovo je posve nova bolest i samo pomnim praćenjem ćemo znati kuda ovo sve vodi i ima li povratka nazad - upozorila je Karalezli.

Ističući da postoje uočljive razlike između pluća zdrave osobe i pacijenta zaraženog koronavirusom, Karalezli je napravila takve snimke kako bi ljudima jasnije ukazala na posljedice infekcije COVID-19.

Istaknula je da se stanje pacijenata brzo pogoršava, jer infekcija progresivno oštećuje pluća.

- Pacijente očekuje teška i kritična borba. Najčešće ne mogu ležati na leđima. Teško je kada pacijent ne može doći do daha. S takvim problemom nam dolaze astmatičari, ali damo im terapiju i odu kući, što nije slučaj s pacijentima s infekcijom COVID-19 koji stalno imaju taj problem - kazala je Karalezli.