Usporedila pluća pušača i pacijenta koji je prebolio koronu: Ovo je užas

Ne znam tko ovo treba vidjeti, ali pluća nakon Covida izgledaju gore od bilo koje vrste pluća pušača koju smo ikad vidjeli, kaže doktorica


Doktorica iz Teksasa Britani Bekhed Kendl (Brittany Bankhead-Kendall), koja je od prošle godine liječila hiljade bolesnika zaraženih koronavirusom, otkrila je kakve posljedice Covid-19 ostavlja na pluća. 

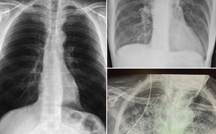
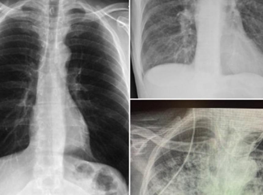
Naime, ona je na svom Twitter profilu podijelila tri rendgenske snimke pluća: jednog zdravog pacijenta, jednog pušača i jednog pacijenta koji je prebolio koronavirus.

Rendgenski snimci

- Ne znam tko ovo treba vidjeti, ali pluća nakon Covida izgledaju gore od bilo koje vrste pluća pušača koju smo ikad vidjeli. I ona se urušavaju. I zgrušavaju. I otežano disanje se zadržava... i dalje ... i dalje - napisala je uz rendgenske snimke. 

Snimka pluća zdravog pacijenta je bistra jer imaju puno crnog prostora, što ukazuje na to da osoba može udahnuti puno zraka. Gledajući rendgen pluća pušača, primjetna je maglovitost koja ukazuje na ožiljke i začepljenja. Treća slika prikazuje pluća nakon Covida, koja izgledaju gotovo potpuno bijelo, što znači da su pluća ozbiljno oštećena. Nakon što je njezin tvit dobio puno pažnje i hiljade odgovora, doktorica je pozvana da kaže nekoliko riječi u vijestima na CBS-u.

- Svi su toliko zabrinuti zbog smrtnosti i to je strašno i užasno. Ali i gotovo svi preživjeli ljudi koji su imali koronu mogu se suočiti s problemima - kazala je.

Doktorica tvrdi da čak i asimptomatski slučajevi korone mogu ostaviti pacijente s ozbiljnim oštećenjima pluća.

Otežano disanje

- Još uvijek postoje ljudi koji kažu: „Dobro sam, nemam nikakvih problema“, ali kada im snimite grudni koš, vidite da su pluća u užasnom stanju - rekla je doktorica.  

Dr. Bankhead Kendall također dodaje da bi, ako pacijent nakon Covida osjeća otežano disanje, trebao ostati u kontaktu sa svojim ljekarom primarne zdravstvene zaštite.